Dùng thuốc lá điện tử, nam sinh 16 tuổi tổn thương phổi nặng nề
Thông tin từ Bệnh viện Đa khoa tỉnh Phú Thọ, thời gian qua, bệnh viện tiếp nhận nhiều trường hợp người bệnh trẻ tuổi, trong đó có cả những học sinh THCS và THPT, không có bệnh mạn tính vào viện vì tình trạng viêm phổi. Đáng chú ý, đa số những trường hợp này đều liên quan đến sử dụng thuốc lá điện tử
Tổn thương phổi như người cao tuổi
Mới đây nhất là trường hợp người bệnh nam 16 tuổi, vào viện vì đau tức ngực, ho khạc đờm và khó thở khi gắng sức. Khai thác tiền sử, người bệnh cho biết có sử dụng thuốc lá điện tử cùng với bạn bè trong thời gian gần đây. Người bệnh cho rằng thuốc lá điện tử ít nguy hiểm hơn thuốc lá truyền thống và bị bạn bè lôi kéo.

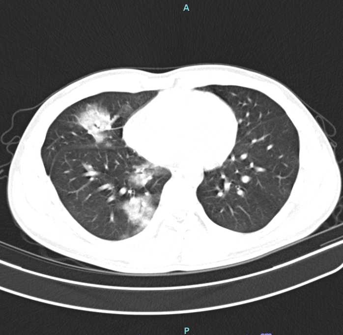
Người bệnh được chỉ định xét nghiệm máu, đờm, chụp phim cắt lớp vi tính ngực, trên phim chụp cắt lớp vi tính ngực, tổn thương thâm nhiễm rộng thùy dưới phổi phải. Người bệnh được Chẩn đoán viêm phổi, nguyên nhân ban đầu nghĩ đến do hút thuốc lá điện tử.
Người bệnh được điều trị kháng sinh, long đờm, phục hồi chức năng hô hấp. Sau đợt điều trị, các triệu chứng và tổn thương phổi trên phim có cải thiện, người bệnh tiếp tục được hướng dẫn theo dõi tại nhà và khám lại theo lịch hẹn.

BSCKII, Bùi Mạnh Cường – Trưởng khoa Nội hô hấp (Bệnh viện Đa khoa tỉnh Phú Thọ) cho biết: “Tình trạng của người bệnh diễn biến khá phức tạp. Mặc dù người bệnh còn rất trẻ, không có bất kỳ bệnh lý nền nào nhưng tổn thương ở phổi lại rất nặng nề, không khác gì ở người cao tuổi. Chúng tôi đã phải áp dụng những biện pháp điều trị nhằm bảo tồn tối đa chức năng phổi của người bệnh”.
Sự nguy hiểm của thuốc lá điện tử
Cũng theo BS. Cường, trong khói thuốc lá điện tử có rất nhiều chất độc hại khác nhau, tác động lâu dài đến sức khỏe. Thuốc lá điện tử có khả năng làm nóng các chất lỏng bên trong hộp đựng nicotine, khi ở nhiệt độ cao, chất lỏng này sẽ chuyển sang dạng hơi và người hút sẽ hít luồng hơi này vào cơ thể, từ đó gây ra một số vấn đề về sức khỏe như:
– Buồn nôn, tức ngực, ho, tăng huyết áp và nhịp tim.
– Ảnh hưởng đến trí nhớ, giấc ngủ: Nicotine gây hưng phấn, gây nghiện nhưng sử dụng kéo dài sẽ dẫn đến rối loạn giấc ngủ, giảm khả năng tập trung, giảm trí nhớ.
– Ảnh hưởng bệnh lý tim mạch: Nicotin gây tăng huyết áp, rối loạn nhịp tim.
– Ảnh hưởng đến hệ hô hấp: Trong khói thuốc còn có các chất có gốc benzen như acetaldehyd và formaldehyd, khi xâm nhập vào phổi sẽ làm cản trở quá trình lưu thông oxy, tăng viêm, làm rò rỉ mạch máu, nghiêm trọng hơn là gây tích tụ dịch ở phổi. Hút thuốc lá điện tử trong thời gian dài và liên tục có thể gây ra các triệu chứng như ho đờm kéo dài, đau tức ngực, khó thở khi vận động, sốt nhẹ kéo dài, ho ra máu, đổ nhiều mồ hôi vào ban đêm, sụt cân.
Những dấu hiệu này rất có thể là biểu hiện của bệnh viêm phổi, bệnh phổi tắc nghẽn mạn tính, suy hô hấp, thậm chí ung thư phổi.
– Ảnh hưởng đến sức khỏe sinh sản: nicotine gây rối loạn kinh nguyệt, rối loạn nội tiết ở nữ giới, rối loạn cương dương, xuất tinh sớm ở nam giới thậm chí gây vô sinh. Ở phụ nữ có thai gây dị tật, rối loạn phát triển thai nhi.
Ngoài ra, trong khói thuốc lá điện tử cũng có nhiều chất tạo mùi, các chất độc khác gây ung thư vòm, ung thư thực quản,…
Không nên dùng thuốc lá điện tử để cai nghiện thuốc lá truyền thống
Rất nhiều người hiện nay cho rẳng dùng thuốc lá điện tử không có ảnh hưởng đến sức khỏe và dùng thuốc lá điện tử như một cách để cai nghiện thuốc lá truyền thống.
Tuy nhiên, trong khói thuốc lá điện tử vẫn chứa thành phần nicotin và các hóa chất gây nghiện khác nên mức độ ảnh hưởng đến sức khỏe không hề thua kém so với thuốc lá truyền thống. Thậm chí còn nguy hiểm hơn do tâm lý chủ quan, cho rằng thuốc lá điện tử an toàn hơn, dẫn đến việc sử dụng nhiều và thường xuyên hơn. Từ đó gây ra những hậu quả nặng nề cho sức khỏe.
Qua đây, bác sĩ khuyến cáo người dân, đặc biệt là những người trẻ tuổi, người vị thành niên, học sinh, sinh viên nên tránh xa các loại thuốc lá nói chung và thuốc lá điện tử nói riêng. Dù những người bán hàng có nhiều quảng cáo hấp dẫn nhưng không nên vì vậy mà quên đi những tác hại khôn lường của chúng đối với sức khỏe của người sử dụng hay những người hít phải khói thuốc lá một cách thụ động.
Để duy trì một sức khỏe tốt, chúng ta cần tránh xa các loại thuốc lá và khói thuốc. Đây là việc làm rất cần thiết để bảo vệ sức khỏe của chính bạn và cộng đồng.